
对不少年轻人来说,脸上冒痘痘是再常见不过的事,顺手挤掉几乎是下意识的动作。然而近期,宁波大学附属第一医院呼吸与危重症医学科接诊的一位患者,给所有人敲响了警钟——这位20岁的大学生随手挤了一颗痘痘,居然引发了败血症和肺脓肿,足足住院治疗了近两周。20岁的小林是一名大二学生,前段时间为了准备考试,熬了几晚后脸上冒出一颗黄豆大小的痘痘。他觉得这颗痘痘又红又肿很难看,于是没洗手就对着镜子挤掉了。当时他还觉得终于清爽了。但过了几天,痘痘依旧化脓,小林开始发烧咳嗽咳痰,即便吃了退烧药也只是暂时退下去,右下胸部传来的疼痛像有根针在扎沪深投,深呼吸、咳嗽时更是疼得他直冒冷汗。

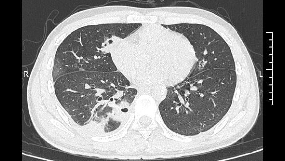
熬到第三天沪深投,小林已经烧到39℃,赶紧来到医院就诊。接诊的丁群力主任医师一看他的症状,立刻安排了CT检查。结果显示:小林的肺里有十几个空洞,部分肺组织已经坏死,这是典型的血源性肺脓肿。进一步的细菌培养和基因检测揭开了真相,小林的血液里检出了金黄色葡萄球菌,这种细菌就藏在每个人的皮肤表面。“罪魁祸首”就是那颗被挤掉的痘痘。丁群力解释说,这颗痘痘长在脸部“危险三角区”,挤痘痘时的压力把细菌推进了血管,引发了败血症,接着细菌顺着血流跑到肺部,侵蚀肺组织。

万幸小林年轻,身体素质底子好沪深投,对药物也较为敏感,经过12天的抗生素治疗,最终顺利康复出院。
浙中医大二院整形美容科张亦轩医生表示,脸上痘痘不能随便挤主要是因为挤压会造成微小的组织创伤,引发一系列不良后果。粗暴挤压不仅可能将脓液推向皮肤更深层,形成更顽固、更疼痛的结节或囊肿,让问题变得复杂难愈,而且挤压会破坏毛囊壁,使原本被包裹的细菌和炎症物质向周围扩散,导致炎症加重,让一个小红包肿成更难消退的大硬包。挤压还可能损伤真皮层的胶原蛋白,一旦支撑结构被破坏,皮肤无法完美再生,就会形成永久性的凹陷疤痕,即痘坑;同时,剧烈炎症还会刺激黑色素细胞,导致红色或棕色的痘印迟迟不褪。
虽然大部分人都知道挤脸上痘痘风险最高,但其实身体上所有部位的痘痘都不建议随便挤。比如,挤压背部的疤痕和痘印虽然没有脸部的危险,通常比面部更难消退。而像臀部、腹股沟反复出现又大又痛甚至流脓的“痘痘”,这可能不是普通的痤疮,而是化脓性汗腺炎或其他皮肤疾病,绝对禁止挤压,必须寻求医生帮助。
若痘痘已“熟透”且非挤不可,请务必遵守安全守则:确保时机正确,只处理顶端有白色脓头且不红肿的成熟痘痘。操作前用肥皂洗手并用酒精消毒痘痘区域及工具,建议使用消毒后的挤痘针。热敷软化皮肤后,用挤痘针环状端对准脓头轻柔施压,见脓液排出或冒出血清即停。最后用酒精/碘伏消毒伤口,涂抹抗菌药膏,并保持伤口干爽透气。
张亦轩医生强调沪深投,痤疮虽常见,却不能轻视,尤其是中重度患者,需要个性化、系统化的治疗方案,而非盲目尝试偏方或过度护理。痤疮的诱因复杂,与雄激素水平、作息、饮食、压力、遗传等都密切相关。治疗的关键在于“控油”与“消炎”,但方法要因人而异。目前,在痤疮的治疗上,西医常采用维A酸类药物、抗菌药以及红蓝光、果酸换肤等物理疗法;中医则注重内调外治,如中药湿敷、火针、耳穴贴压等。张亦轩医生所在科室推行的是“中西医联合方案”,强调根据患者的个人体质与痘痘类型,量身定制治疗路径。
配资平台提示:文章来自网络,不代表本站观点。